I ETAPAS
Džiaugiamės ir didžiuojamės sulaukę tokio didelio susidomėjimo konkursu. Norime visiems padėkoti už atsiųstus „PRIEŠ“ ir „PO“ atvejus, Jūs jau turite realų šansą laimėti šį unikalų estetinio plombavimo konkursą. Visos dalyvių nuotraukos yra išsiųstos vertinimui komisijos nariams. Balandžio 1 dieną bus paskelbti 7 laimingieji, kurie varžysis dėl geriausiojo vardo! Visų dalyvių darbų nuotraukos publikuojamos facebook estetinio plombavimo „Estetiko“ paskyroje. Balsuokite už labiausiai Jums patikusias nuotraukas!
Kviečiame vertinti gydytojų odontologų estetinio plombavimo darbų nuotraukas „PRIEŠ“ ir „PO“ facebook estetinio plombavimo „Estetiko“ paskyroje.
Galutinį nuotraukų vertinimą sudarys:
80% – komisijos narių vertinimas;
20% – konkurso „Facebook“ paskyroje patalpintų nuotraukų surinkti „Patinka“ (ang. „Like“) paspaudimai
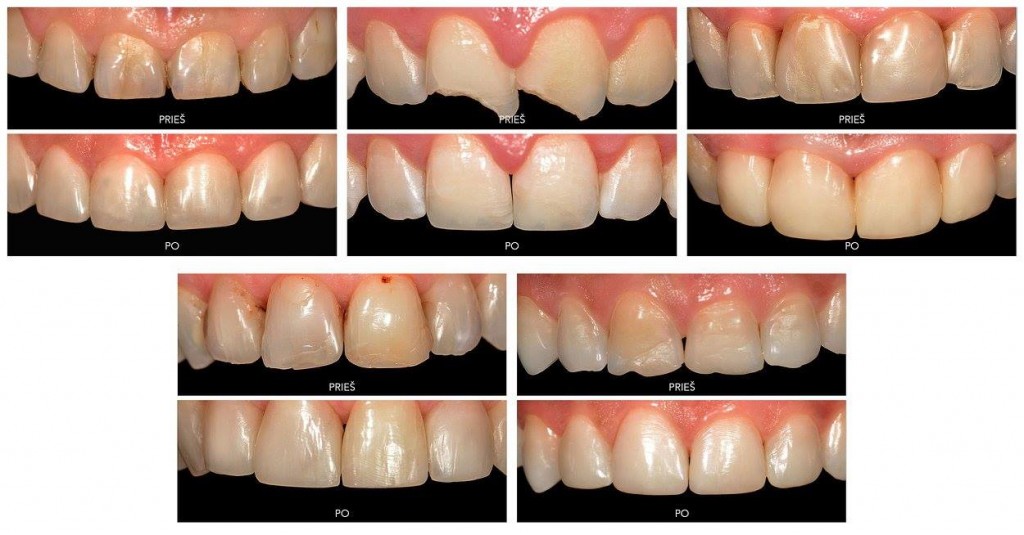
Gyd. Agnės Mališauskienės estetinio plombavimo darbų nuotraukos „PRIEŠ“ ir „PO“
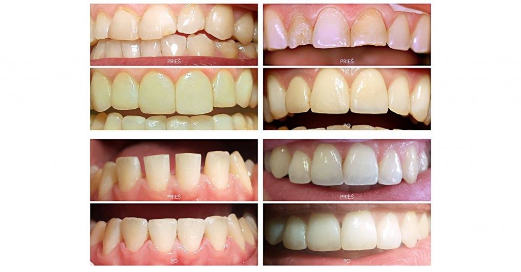
Gyd. Agnės Markevičienės estetinio plombavimo darbų nuotraukos „PRIEŠ“ ir „PO“
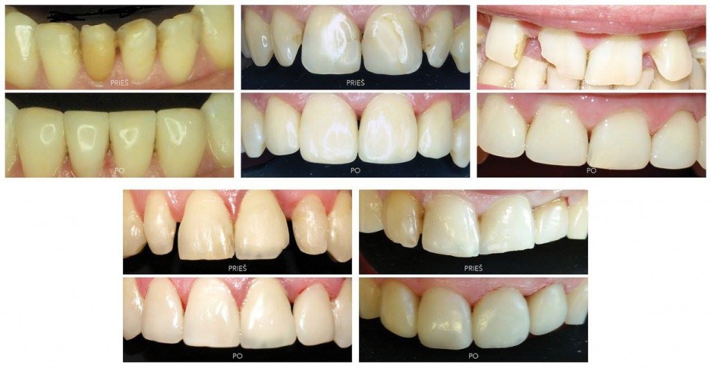
Gyd. Aivaro Galičino estetinio plombavimo darbų nuotraukos „PRIEŠ“ ir „PO“
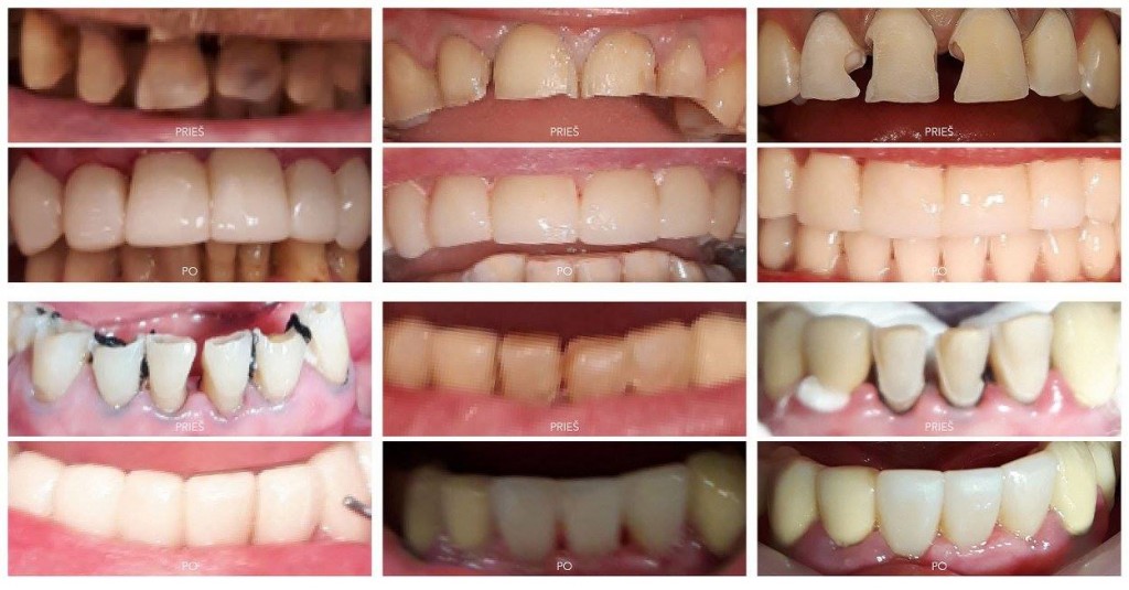
Gyd. Eivido Zakrio estetinio plombavimo darbų nuotraukos „PRIEŠ“ ir „PO“
Gyd. Ernesto Balsiuko estetinio plombavimo darbų nuotraukos „PRIEŠ“ ir „PO“
Gyd. Giedrės Vaičiūnienės estetinio plombavimo darbų nuotraukos „PRIEŠ“ ir „PO“
Gyd. Inetos Barkauskienės estetinio plombavimo darbų nuotraukos „PRIEŠ“ ir „PO“
Gyd. Ingos Dobožinskienės estetinio plombavimo darbų nuotraukos „PRIEŠ“ ir „PO“
Gyd. Ingos Linkytės – Sližienės estetinio plombavimo darbų nuotraukos „PRIEŠ“ ir „PO“
Gyd. Jolantos Suslavičienės estetinio plombavimo darbų nuotraukos „PRIEŠ“ ir „PO“
Gyd. Jolitos Ruginienės estetinio plombavimo darbų nuotraukos „PRIEŠ“ ir „PO“
Gyd. Jurgitos Krasauskienės estetinio plombavimo darbų nuotraukos „PRIEŠ“ ir „PO“
Gyd. Martynos Grenciūtės estetinio plombavimo darbų nuotraukos „PRIEŠ“ ir „PO“
Gyd. Neringos Gaurilčikienės estetinio plombavimo darbų nuotraukos „PRIEŠ“ ir „PO“
Gyd. Rositos Labanauskienės estetinio plombavimo darbų nuotraukos „PRIEŠ“ ir „PO“
Gyd. Sandros Žurbienės estetinio plombavimo darbų nuotraukos „PRIEŠ“ ir „PO“
Gyd. Sigutės Vitkūnienės estetinio plombavimo darbų nuotraukos „PRIEŠ“ ir „PO“
Gyd. Simonos Varnagirienės estetinio plombavimo darbų nuotraukos „PRIEŠ“ ir „PO“
Gyd. Ugnės Mitrauskienės estetinio plombavimo darbų nuotraukos „PRIEŠ“ ir „PO“
Gyd. Violetos Buržinskaitės – Drozdienės estetinio plombavimo darbų nuotraukos „PRIEŠ“ ir „PO“




















